MENU
HOME
口腔内メインテナンス
個室診療
ホワイトニング
インプラント治療
ブログ
アクセス
HOME
口腔内メインテナンス
個室診療
ホワイトニング
インプラント治療
ブログ
アクセス
HOME
口腔内メインテナンス
個室診療
ホワイトニング
インプラント治療
ブログ
アクセス
ホーム
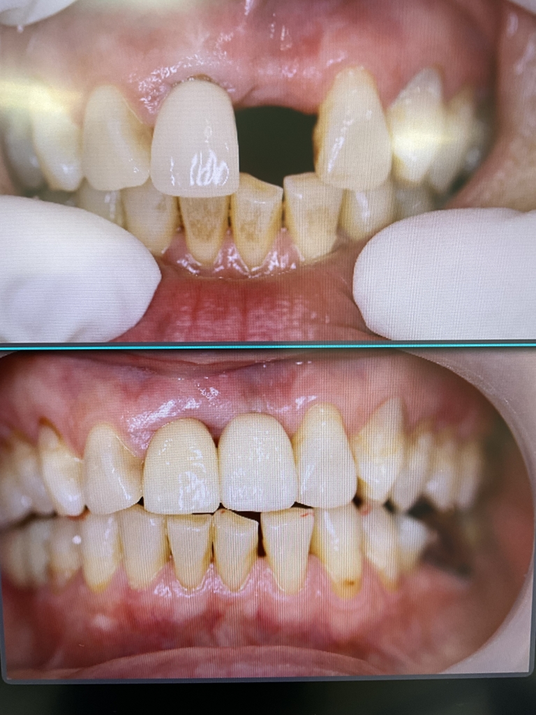
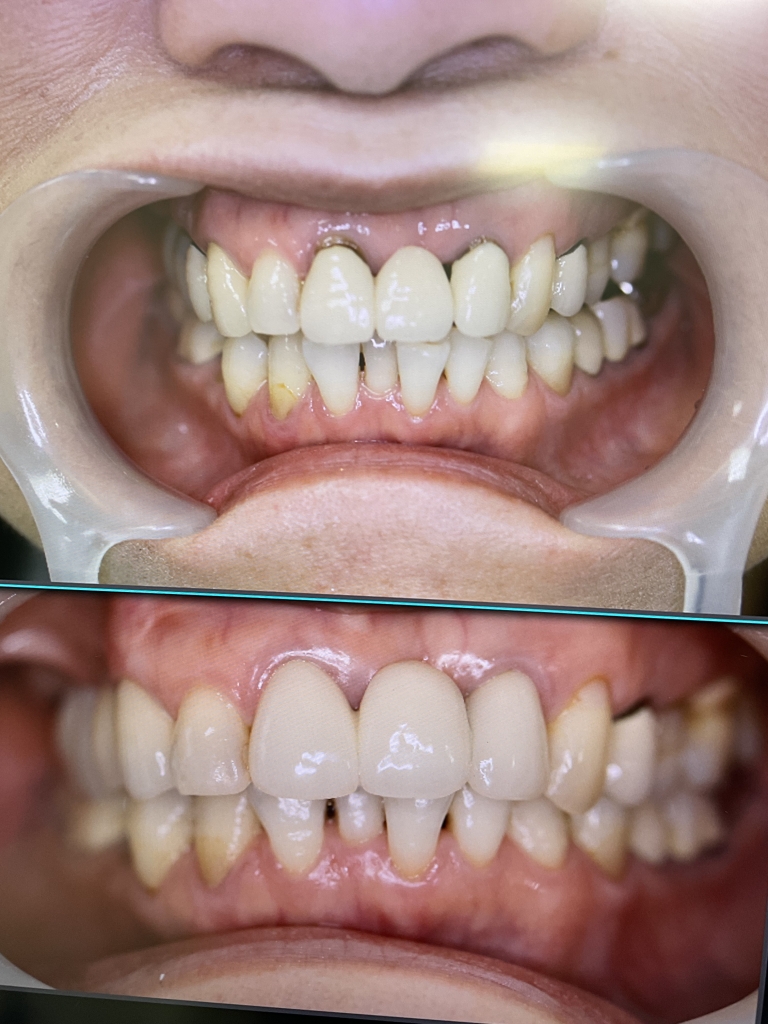
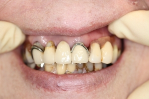
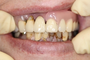
かぶせ物について
かぶせ物について
ジルコニアクラウン
インプラント治療
残った歯に負担が少ない。費用が高い。インプラントについては
こちら
テレスコープDT
バネが見えない。二重にかぶせるDT
ノンクラスプDT
歯に固定してるバネが見えないので、取り外しの入れ歯とは分かりにくいです
お電話